
 
     
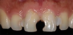
        不能開懷大笑
 
        怎麼快速美牙
 
        牙黃不齊怎麼辦
 
        如何才能展現完美自信笑容
 
       
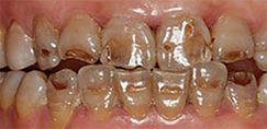
    牙髓壞死牙齒變脆導致崩裂
牙小於正常牙的牙齒
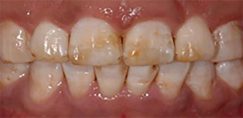
過多抽煙、喝茶導致色素沉澱
牙門牙縫間隙明顯大、稀疏
飲用水中氟含量過高引起的
服用四環素族藥物引起的變黑黃
牙髓壞死牙齒變脆導致崩裂
牙齒偏離原本生長位置
牙齒偏離原本生長位置
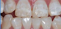
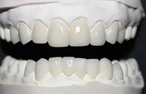
牙齒貼面:是根據您的牙齒形態,由多種元素經過高溫發生復雜的化學反應定製而成的超薄貼面。全數字化生產工藝,色澤逼真,不易崩瓷,讓你輕松擁有一口通透亮白的整齊牙齒。
 
      1.口腔全面檢查定制方案
2.牙體預備、取模、比色
3.美學設計、黃金比例
4.蠟型設計、精準設計
5.粘貼牙貼面
6.檢查咬合關係並調合
DSD 數位微笑設計是現今數位牙科在陶瓷貼片、全瓷冠等牙齒美容療程中所採用的一種微笑曲線的設計流程,DSD 是 [ Digital ] [ Smile ] [ Design ] 這三個英文字的縮寫,顧名思義就是數位的微笑設計,透過收集患者牙齒、牙齦、唇型、臉型五官、笑容及各種臉部表情的數據,運用大數據分析技術協助牙醫師為患者設計出專屬的微笑曲線,DSD 微笑設計最大的特點是讓患者在術前即可「模擬試戴笑容」,有問題可以即時跟醫師、牙技師討論設計細節,確保術後笑容能讓患者滿意。
在傳統的陶瓷貼片療程中,我們只能夠仰賴醫師的描述去預想療程成果。這樣的作法在患者心理上會產生不安的情緒,因為 “美” 是很主觀的,患者不確定美齒貼片是否適合自己,也不確定自己與醫師的想像是否相同。但現在有了 DSD 數位微笑設計,在牙齒美白療程開始前(尚未修磨到任何真牙),藉由 DSD 數位微笑設計,您可以預見、參與、討論、體驗到未來牙齒美白貼片或全瓷冠療程結束後的笑容,世界因此變得不同
 
       
    牙貼面
讓笑容更自信
 
         
         
         
         
         
         
           
           
           
           
           
           
           
           
           
           
           
           
           
           
        